Servicios

puntos

Cefalometría y Análisis de modelos

LEDOSA tiene una larga experiencia en el soporte para incorporar a su consulta las técnicas más avanzadas y eficaces disponibles, mediante el servicio de formación y el apoyo tutorizado.

Los elementos principales de esta sección están compuestos por las consultas, análisis cefalométrico y análisis de modelos, realizado por odontólogos con una larga experiencia en la Técnica Cervera.

Cefalometría y Formulario

El estudio cefalométrico permite estudiar y evaluar el entorno esquelético del paciente y la relación existente entre los dientes y sus bases óseas. Los datos obtenidos a partir de la cefalometría nos dan información de cómo va a responder el paciente al tratamiento, así como cuánto está desviado el caso en estudio respecto a un ideal acorde al sexo y edad.

Superposición Cefalométrica

La superposición cefalométrica es la expresión gráfica de las diferencias que presenta el paciente respecto a su estándar. A su vez, permite ver la evolución del paciente superponiendo los distintos trazados realizados del mismo, pudiendo observar los cambios producidos por el crecimiento y/o tratamiento ortodóntico.

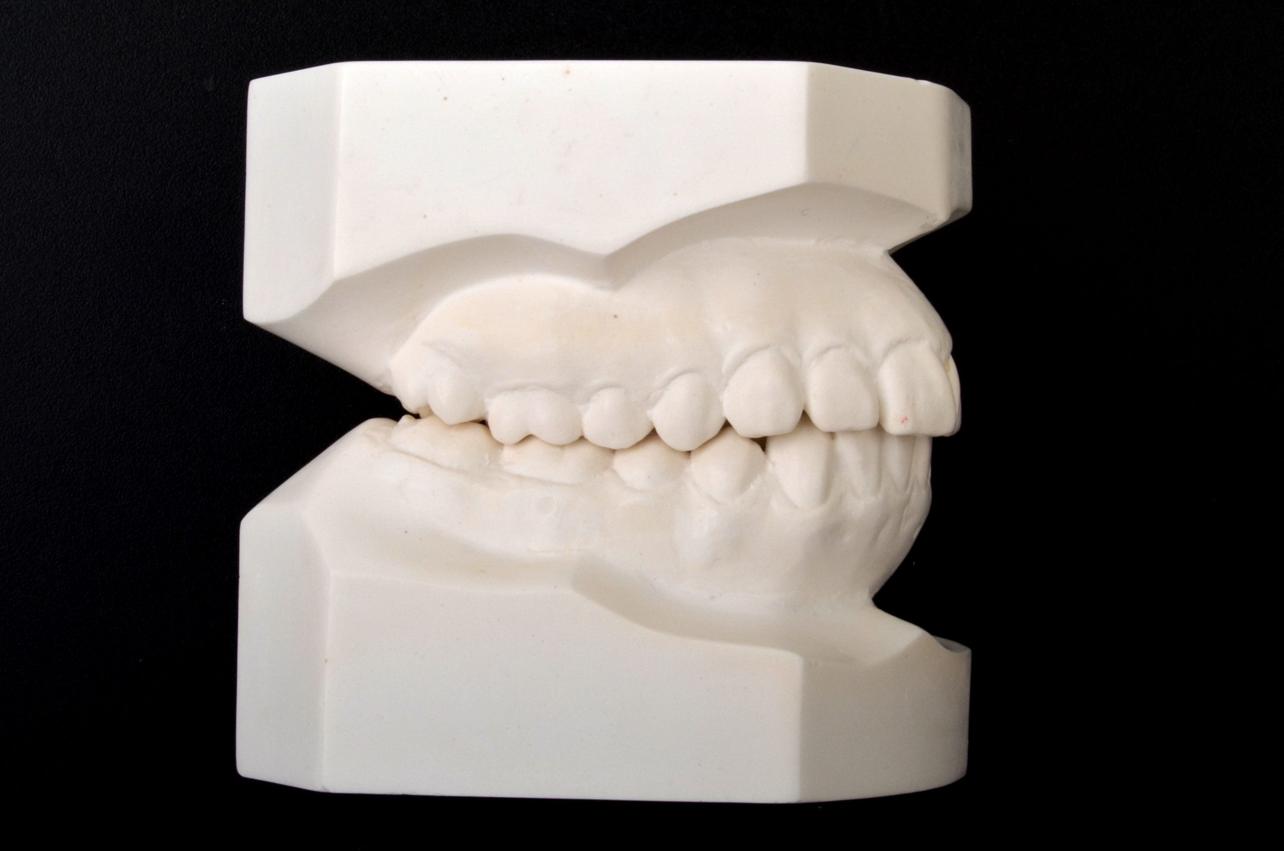
Análisis de Modelos

Un adecuado y minucioso estudio de modelos nos aporta información de los movimientos dentales que hay que realizar para conseguir una adecuada corrección de la alineación dental, así como de la relación interarcada.

puntos

Técnica de predicción o Set-up

LEDOSA tiene una larga experiencia en el soporte para incorporar a su consulta las técnicas más avanzadas y eficaces disponibles, mediante el servicio de formación y el apoyo tutorizado.

Los elementos principales de esta sección están compuestos por las consultas, análisis cefalométrico y análisis de modelos, realizado por odontólogos con una larga experiencia en la Técnica Cervera.

puntos

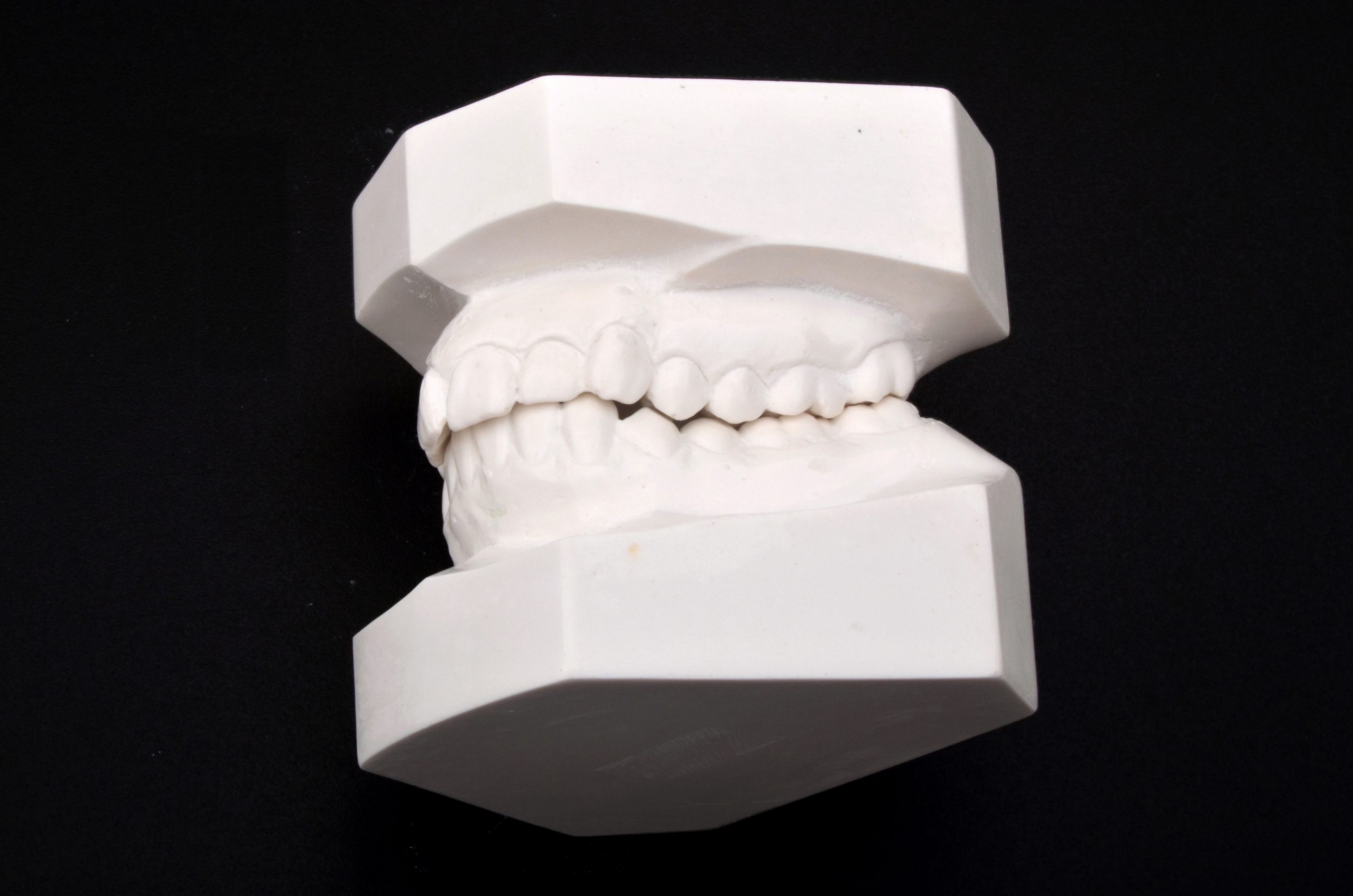
Zocalado y Escayola

El zocalado es el procedimiento de recorte de los modelos de estudio para ortodoncia.

Estos modelos son de suma importancia porque nos brindan información valiosa para el diagnóstico, plan de tratamiento y evaluación del caso.

Las impresiones nos deben reproducir fielmente todos los detalles dentarios, procesos alveolares, paladar, frenillos, etc. También es necesario un perfecto y nítido registro de mordida, para poder reproducir la relación interarcada de forma fidedigna.

Zocalado Cervera

Zocalado Americano

Zocalado con Bases